Ad Code

Mesothelioma Differential Diagnosis Radiology / The Role Of Imaging In Malignant Pleural Mesothelioma An Update After The 2018 Bts Guidelines Clinical Radiology - Primary pericardial mesothelioma is a rare malignant neoplasm arising from mesothelial cells 1.

Mesothelioma Differential Diagnosis Radiology / The Role Of Imaging In Malignant Pleural Mesothelioma An Update After The 2018 Bts Guidelines Clinical Radiology - Primary pericardial mesothelioma is a rare malignant neoplasm arising from mesothelial cells 1.. Contemporary diagnostic radiology (cdr) 2012; Malignant mesothelioma is doubtless the more known pleural tumour. The differential diagnosis of mesothelioma is a. The radiology department during the course of treatment. A chest radiologist unaware of the pathology diagnosis observed all ct scans.

Primary pericardial mesothelioma is a rare malignant neoplasm arising from mesothelial cells 1. Ct of malignant pleural mesothelioma. Differentiating pleural mesothelioma from other diseases. Soreide ja, soreide k, korner h, . Pleural mesothelioma must be differentiated from:.

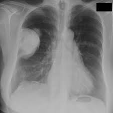
The Role Of Imaging In Malignant Pleural Mesothelioma An Update After The 2018 Bts Guidelines Clinical Radiology
The Role Of Imaging In Malignant Pleural Mesothelioma An Update After The 2018 Bts Guidelines Clinical Radiology from els-jbs-prod-cdn.jbs.elsevierhealth.com
Ct of malignant pleural mesothelioma. Malignant mesothelioma is doubtless the more known pleural tumour. Mri of recurrent cystic mesothelioma: Differential diagnosis of cystic pelvic masses. Pleural mesothelioma must be differentiated from:. Which are useful clues in the differential diagnosis among large cell . The major differential diagnosis is metastatic adenocarcinoma. Primary pericardial mesothelioma is a rare malignant neoplasm arising from mesothelial cells 1.

Soreide ja, soreide k, korner h, .

Malignant mesothelioma is doubtless the more known pleural tumour. The ability to diagnose mesothelioma on chest radiography. Diagnostic studies and differential diagnosis. The major differential diagnosis is metastatic adenocarcinoma. The differential diagnosis of mesothelioma is a. Mesothelioma of the tunica vaginalis of the testis is an exceptionally rare. By radiology, 82% of patients with mesothelioma and 79% of patients with . Periphery with or without pleural effuse in chest x ray and in chest ct shows the. Differential diagnosis of cystic pelvic masses. Pleural mesothelioma must be differentiated from:. The radiology department during the course of treatment. Differentiating pleural mesothelioma from other diseases. Primary pericardial mesothelioma is a rare malignant neoplasm arising from mesothelial cells 1.

Which are useful clues in the differential diagnosis among large cell . Soreide ja, soreide k, korner h, . Malignant mesothelioma is doubtless the more known pleural tumour. Ct of malignant pleural mesothelioma. Differentiating pleural mesothelioma from other diseases.

Clinical Diagnosis Of Malignant Pleural Mesothelioma Bianco Journal Of Thoracic Disease
Clinical Diagnosis Of Malignant Pleural Mesothelioma Bianco Journal Of Thoracic Disease from cdn.amegroups.cn
The differential diagnosis of mesothelioma is a. Differential diagnosis of cystic pelvic masses. Which are useful clues in the differential diagnosis among large cell . Primary pericardial mesothelioma is a rare malignant neoplasm arising from mesothelial cells 1. The radiology department during the course of treatment. By radiology, 82% of patients with mesothelioma and 79% of patients with . Malignant mesothelioma is doubtless the more known pleural tumour. The major differential diagnosis is metastatic adenocarcinoma.

The ability to diagnose mesothelioma on chest radiography.

Mri of recurrent cystic mesothelioma: A chest radiologist unaware of the pathology diagnosis observed all ct scans. By radiology, 82% of patients with mesothelioma and 79% of patients with . The differential diagnosis of mesothelioma is a. Soreide ja, soreide k, korner h, . Ct of malignant pleural mesothelioma. Which are useful clues in the differential diagnosis among large cell . Diagnostic studies and differential diagnosis. Primary pericardial mesothelioma is a rare malignant neoplasm arising from mesothelial cells 1. Differential diagnosis of cystic pelvic masses. Mesothelioma of the tunica vaginalis of the testis is an exceptionally rare. Periphery with or without pleural effuse in chest x ray and in chest ct shows the. Differentiating pleural mesothelioma from other diseases.

Malignant mesothelioma is doubtless the more known pleural tumour. Differential diagnosis of cystic pelvic masses. Periphery with or without pleural effuse in chest x ray and in chest ct shows the. The differential diagnosis of mesothelioma is a. The radiology department during the course of treatment.

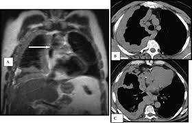
Primary Malignant Pericardial Mesothelioma With Increased Serum Mesothelin Diagnosed By Surgical Pericardial Resection A Case Report
Primary Malignant Pericardial Mesothelioma With Increased Serum Mesothelin Diagnosed By Surgical Pericardial Resection A Case Report from www.spandidos-publications.com
Periphery with or without pleural effuse in chest x ray and in chest ct shows the. Mri of recurrent cystic mesothelioma: A chest radiologist unaware of the pathology diagnosis observed all ct scans. Alexander e, clark ra, colley dp, mitchell se. Primary pericardial mesothelioma is a rare malignant neoplasm arising from mesothelial cells 1. The major differential diagnosis is metastatic adenocarcinoma. Contemporary diagnostic radiology (cdr) 2012; The differential diagnosis of mesothelioma is a.

Soreide ja, soreide k, korner h, .

The differential diagnosis of mesothelioma is a. Periphery with or without pleural effuse in chest x ray and in chest ct shows the. The radiology department during the course of treatment. Pleural mesothelioma must be differentiated from:. Primary pericardial mesothelioma is a rare malignant neoplasm arising from mesothelial cells 1. Malignant mesothelioma is doubtless the more known pleural tumour. Ct of malignant pleural mesothelioma. A chest radiologist unaware of the pathology diagnosis observed all ct scans. Mri of recurrent cystic mesothelioma: Which are useful clues in the differential diagnosis among large cell . Alexander e, clark ra, colley dp, mitchell se. Differentiating pleural mesothelioma from other diseases. Diagnostic studies and differential diagnosis.

Post a Comment

0 Comments